Перейти к содержанию

GRINDERS

Пользователи
  • Постов

    426
  • Зарегистрирован

  • Посещение

Посетители профиля

1 445 просмотров профиля

Достижения GRINDERS

Восходящая звезда

Восходящая звезда (9/14)

  • Отличная реакция Редкий
  • Первое сообщение
  • Соавтор
  • Топикстартер
  • Неделя в сообществе

Последние значки

14

Репутация

  1. Meizsu mx 4 ,нужно заменить внешний динамик + дисплей
  2. Meizu MX4 скол в углу и трещина на пол экрана,сенсор работает(бывает глючит)
  3. сильно ударил)
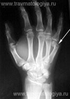
  4. У кого подобные переломы были? Боюсь что не правильно срастется и придется резать и ломать заново. Врач вытягивал, хруст вправления был но осталось так же как и на фото. Может кто посоветует врача хирурга хорошего, который сможет правильно кость вытянуть?
  5. фото,знак зодиака,образ жизни плз предоставьте девушка
  6. *05 ей почти удалось )
  7. для занятия спортом) любые подойдут ) а про гарем Я пошутил, подхватив твою шутку) Добавлено спустя 1 минуту 27 секунд: И хватит утрировать переводя тему на какую то пошлятину , приписываете мне каких то распутных и легких на передок девушек)
  8. лицом не вышел для гарема! вот и возмущается, что не на него внимание обратили...Был бы на самом деле такой классный как пишет, не сидел бы тут в знакомствах! Воуу оО что за ?! епт... от куда такие высказывания ? я в шоке! я не возмущаюсь! На меня приличное количество девушек обращают внимания , уж поверь мне ) Но тут откуда такие факты у тебя взялись?) что из за того что на меня как по твоим словам не обратили внимания я начал возмущаться) бред ппц) "Был бы на самом деле такой классный как пишет,не сидел бы тут в знакомствах" - Именно такой Я и есть) это даже скромно сказано ) *02 Пожалуйста не нужно быть такими противными) Если нет интереса ко мне и т.п То ПОЖАЛУЙСТА НЕ ПИШИТЕ ТУТ! НЕ ОФТОПЬТЕ УЛИТКИ )
  9. Почка 1 -от 40 000 баксов Сердце от 50 000 баксов Селезёнка -от 15 000 баксов Поджелудочная от 20 000 Печень- от 50 000 Вы действительно завидный и богатый жених. Жжжешь :DD *05
  10. а разве я просила его контактные данные??? *28 Не Флуди КА ! *49
  11. да, я так и подумал) и в этом нет ничего страшного) Парень понравился девушке и она попросила его контактные данные - все стандартно )
  12. вы меня ставите на роль сутенера : D его контактные данные я вам дать не могу, т.к он был бы против)
  13. Вот так ) Добавлено спустя 17 минут 18 секунд: вот вернули профиль старый)
×
×
  • Создать...